“脑膜尾征”你不会只知道脑膜瘤吧?
“脑膜尾征”你不会只知道脑膜瘤吧?
这篇文章告诉你答案~
病例1
病史
女,42岁,因“体检发现左顶部占位3月”入院。
影像学表现
CT平扫&MR平扫+增强

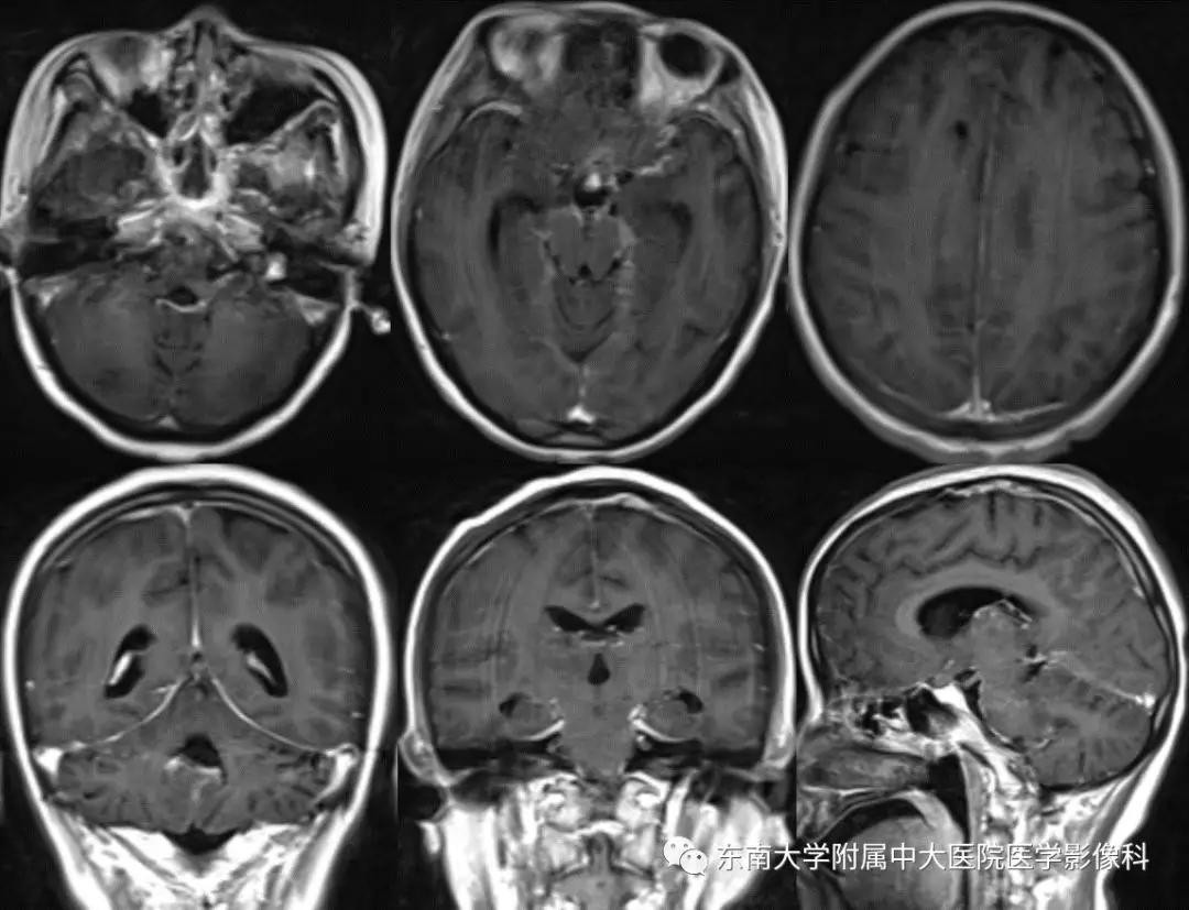
病例2
病史
女,27岁,因“阵发性头痛1月,发热4天,意识障碍1天”入院。
外院行胸部CT平扫示:两肺弥漫型渗出性病变;父亲有“结核”病史。
MR
增强

病例结果:病例1脑膜瘤;病例2结核性脑膜炎并急性脑梗塞。





















来源丨东南大学附属中大医院医学影像科
【版权声明】本平台属公益学习平台,转载系出于传递更多学习信息之目的,且已标明作者和出处,如不希望被传播的老师可与我们联系删除
【版权声明】本平台属公益学习平台,转载系出于传递更多学习信息之目的,且已标明作者和出处,如不希望被传播的老师可与我们联系删除